많은 분들이 경험하는 치아 시림(지각과민증)! 찬 음료 마시거나 양치할 때 찌릿한 통증이 느껴지면 정말 괴롭죠. 이 증상은 주로 치아 법랑질이 손상되어 상아질이 노출되면서 발생합니다. 집에서 간단히 확인할 수 있는 방법이 있지만, 이건 전문 진단을 대신할 수 없어요. 증상이 지속되면 반드시 치과를 방문하세요!
집에서 확인해볼 수 있는 간단 테스트 방법
- 자극 테스트 (찬/뜨거운 것) 차가운 물이나 얼음을 특정 치아에 대어보세요. 뜨거운 음료를 마셔보는 것도 좋습니다. 특정 치아에서만 강한 통증이 느껴진다면 민감성 치아일 가능성이 높아요.
- 공기/바람 테스트 입을 벌리고 치아에 바람을 불어보거나 차가운 공기를 쐬어보세요. 시린 치아가 즉시 반응할 수 있습니다.
- 압력/두드림 테스트 치아를 가볍게 두드리거나 딱딱한 음식을 씹어보세요. 통증이 있거나 불편하면 충치나 균열 가능성을 의심해볼 수 있어요.
- 시각적 확인 (거울로 관찰) 밝은 빛 아래 거울로 치아와 잇몸을 자세히 살펴보세요. 아래와 같은 이상이 보인다면 주의가 필요합니다!
![]() |
![]() |
![]() |
(치경부 마모 예시: 치아 목 부분이 패이거나 노출된 경우)
![]() |
![]() |
(초기 충치 예시: 검은 점이나 얼룩이 보이는 경우)
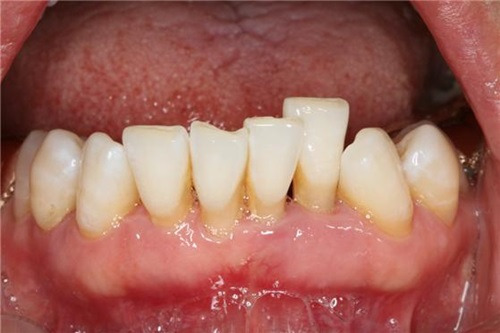
![]() |
![]() |
(잇몸 내려앉음 예시: 치아 뿌리가 노출되거나 잇몸이 붉고 부은 경우)
치아 시림의 흔한 원인
- 잘못된 칫솔질 (세게 문지르거나 좌우로만 닦음) → 치경부 마모
- 잇몸병(치주염)으로 잇몸 내려앉음 → 뿌리 노출
- 충치나 치아 균열
- 산성 음료 과다 섭취, 이갈이 등
집에서 시도해볼 수 있는 임시 대처법
- 민감성 치아 전용 치약 사용 (질산칼륨, 스트론튬 성분 함유 제품 추천)
![]() |
![]() |
- 부드러운 칫솔로 올바른 방법으로 양치하기 (작은 원을 그리며 부드럽게)
![]() |
![]() |
![]() |
- 찬/뜨거운/산성 음식 일시적으로 피하기
결론적으로, 집에서 확인은 초기 대응에 도움이 되지만 정확한 진단과 치료는 치과에서 받으셔야 해요.
통증이 1~2주 이상 지속되거나 심해진다면 지체 없이 치과 방문하세요!
조기 치료가 치아를 오래 건강하게 지켜줍니다. 😁
반응형
'건강' 카테고리의 다른 글
| 대장암이 잘 발생하는 부위: 어디에 가장 많을까? (1) | 2025.12.25 |
|---|---|
| 치아 임플란트 완벽 가이드: 모든 것을 알아보자! (0) | 2025.12.25 |
| 5알파-환원효소(5α-Reductase) 완전 정리 (0) | 2025.12.25 |
| 대장 내시경 검사: 건강검진에서 꼭 알아야 할 모든 것 (0) | 2025.12.24 |
| 알부민(Albumin)에 대해 알아보자 (1) | 2025.12.23 |











